【望京︱科普】吃错、喝错竟伤食管!这两个习惯,正在悄悄磨出食管溃疡
咽部总像卡着东西、胸骨后火辣辣疼、吞咽不舒服……很多人以为是“上火”“咽炎”,殊不知,食管已经被硬生生磨出了溃疡。临床中,因食用酒糟类刺激性食物、干吞药片不喝水导致的食管溃疡十分常见,这两种看似不起眼的行为,正是损伤食管黏膜的“隐形杀手”。
01、两个真实案例,戳中多数人误区
案例1:贪食酒糟食物,辛辣刺激“烧”破食管
有人日常喜爱酒糟、酒酿制品,或是搭配辛辣调料食用,长期反复刺激下,食管黏膜持续处于充血、水肿状态,屏障功能被破坏,最终形成糜烂、溃疡。表现为咽部异物感、胸骨后烧灼痛,进食时疼痛加重,误以为是咽喉问题拖延不治,直到胃镜检查才发现食管多处溃疡病灶。



案例2:干吞药片,药片粘食管“啃”出溃疡
赶时间、怕麻烦,不喝水直接干吞药片,是绝大多数人都有的习惯。药片没有水分送服,会直接粘附在食管壁上,无法顺利进入胃部,药物在局部缓慢溶解,高浓度药剂会持续腐蚀食管黏膜,加上药片物理摩擦,短短几小时就能造成黏膜损伤,形成药物性食管溃疡,典型症状就是咽部异物感、胸骨后烧灼、隐痛。



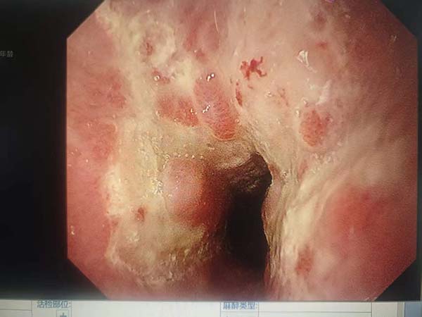
胃镜下,这类溃疡多表现为食管黏膜局限性破损、糜烂,边界清晰,常出现在食管生理性狭窄处,和食物刺激、药物粘附的位置高度吻合。
02、食管溃疡,到底有多危险?
食管是连接口腔和胃的“通道”,黏膜薄且脆弱,没有胃黏膜那样的保护屏障,一旦形成溃疡:
1. 疼痛加重:吞咽、进食、甚至深呼吸都会引发胸骨后灼痛、刺痛,严重影响进食和睡眠;
2. 出血风险:溃疡加深可能损伤血管,出现呕血、黑便;
3. 狭窄梗阻:反复溃疡愈合后形成瘢痕,会导致食管狭窄,出现吞咽困难;
4. 易被误诊:症状和咽炎、心绞痛相似,容易漏诊、错治,延误病情。
03、避开这2个雷区,守护食管健康
1. 远离酒糟等强刺激食物,温和饮食
酒糟、辛辣、过烫、烈酒、浓茶、咖啡等,都会直接刺激食管黏膜,溃疡期需完全忌口;日常饮食以温凉、软烂、清淡为主,细嚼慢咽,减少食管摩擦和刺激。
2. 绝对禁止干吞药片,牢记“足量水送服”
无论药片大小,服药时必须喝≥100ml温水,送服后不要立即平躺,保持站立或缓步走动3-5分钟,让药物顺利进入胃部;尤其抗生素、解热镇痛药、补铁剂等,腐蚀性更强,严禁干吞。
04、出现这些信号,立刻做胃镜!
如果出现咽部异物感、胸骨后烧灼/疼痛、吞咽不适、反酸烧心,且持续超过3天不缓解,不要自行吃润喉片、胃药拖延,及时做胃镜检查是确诊食管溃疡的唯一方法,早治疗、早修复,避免溃疡加重。
最后提醒:食管健康,藏在每一口饮食、每一次服药的细节里。拒绝刺激性食物、不做干吞药片的危险操作,温和呵护食管黏膜,才能远离溃疡困扰。
下一篇: 【北京疾控提醒您】预防春季传染病健康提示



